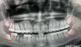
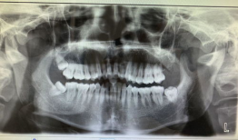
你知道吗?拔智齿这个话题,最近在网络上可是火得一塌糊涂呢!很多人都在好奇,拔智齿到底是个啥样的过程,是不是像传说中的那么恐怖?今...
亲爱的电脑用户们,你是否曾为寻找一款合适的本地视频播放器而烦恼?别担心,今天我要带你深入探索电脑本地视频播放器的世界,让你在享受...
你有没有想过,在这个信息爆炸的时代,关于男人和女人做爱视频的话题,竟然也能成为人们津津乐道的话题呢?没错,就是那种让人脸红心跳的...
今晚国足比赛直播视频:激情四溢,不容错过的视觉盛宴夕阳西下,夜幕降临,又是一个激情澎湃的夜晚。今晚,中国国家足球队即将迎来一场备...
你有没有想过,在忙碌的生活中,如何快速地汲取智慧的营养?今天,我要给你介绍一个神奇的视频——金刚经快诵15分钟版。没错,就是那个...
你有没有遇到过手电钻夹头卡住的情况?那种感觉,就像你的宝贝手电钻突然变成了一个不听话的小顽皮,让你束手无策。别急,今天就来教你一...
亲爱的家长朋友们,你是否在为孩子的早期教育而烦恼呢?别担心,今天我要给你带来一份特别的礼物——早教视频!这些视频可是经过精心挑选...
你有没有想过,在互联网这个浩瀚的宇宙中,有些东西就像隐藏在云层后的星星,虽然不常被人提及,但它们的存在却让人不禁好奇。今天,我们...
亲爱的读者,你是否有过这样的经历:一部精彩的电影、一段动听的音乐或者一个有趣的演讲,让你沉浸其中,却苦于无法随时随地欣赏?别担心...
你有没有遇到过这种情况:手机里存了好多MP4视频,想分享给朋友,结果发现文件太大,传输起来超级慢,还担心手机内存不够用?别急,今...